Operato in utero per una cisti “gigante” al polmone: il piccolo ora sta bene

- Advertisement -
- Advertisement -

Una malformazione rara e di grandi dimensioni metteva a rischio la vita del feto. Intervento combinato tra il Bambino Gesù e il San Pietro Fatebenefratelli. Rimosso dopo la nascita un intero lobo polmonare. 180 gli interventi di chirurgia fetale negli ultimi 4 anni


AgenPress. Una cisti polmonare grande come quasi tutto il torace metteva a rischio la vita del piccolo Alessandro (nome di fantasia) già prima della nascita. Grazie a un delicato intervento in utero, eseguito dall’équipe di Chirurgia Fetale dell’Ospedale Pediatrico Bambino Gesù, il feto è stato salvato. Subito dopo la nascita, il neonato è stato sottoposto a una lobectomia toracoscopica dal team di Chirurgia Neonatale per rimuovere la parte di polmone malato. Oggi Alessandro sta bene ed è tornato a casa con la sua famiglia.

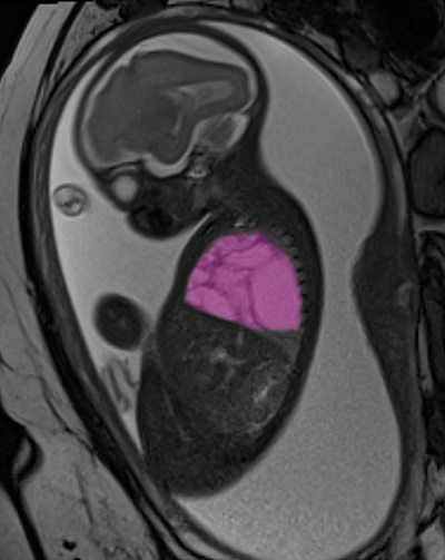
Durante la gravidanza, la diagnosi prenatale aveva rivelato una voluminosa cisti polmonare congenita di circa 9x6x5 centimetri (più grande di un’arancia), un volume tale da occupare quasi interamente la cavità toracica destra del feto e comprimere cuore e polmone di sinistra, con la conseguenza di un grave scompenso cardiaco fetale (idrope).
Per risolvere la situazione ad alto rischio per la sopravvivenza del feto, alla 24a settimana di gravidanza, quando Alessandro era ancora nella pancia della mamma, i chirurghi fetali hanno eseguito il posizionamento di uno shunt pleuro-amniotico, un sottile drenaggio che mette in comunicazione il torace del feto con il liquido amniotico consentendo di ristabilire la normale funzione cardiaca.
La procedura è stata realizzata presso l’ospedale San Pietro Fatebenefratelli, centro ostetrico di II livello, da un’équipe congiunta composta dagli specialisti ostetrici del San Pietro e dai chirurghi fetali del Bambino Gesù guidati dalla dott.ssa Isabella Fabietti, con il coordinamento del dott. Leonardo Caforio, responsabile di Ostetricia, Ginecologia e Diagnosi prenatale dell’Ospedale Pediatrico romano.
«Questa patologia polmonare» spiega la dott.ssa Isabella Fabietti «sebbene nella maggior parte dei casi abbia un decorso benigno, può talvolta portare a un grave scompenso cardiaco in utero con rischio per la vita del feto. Questa era effettivamente la situazione di Alessandro subito prima della procedura, in quanto la cisti era molto grande, occupava quasi tutto il torace e spingeva sul suo piccolo cuore. Il drenaggio in utero, inserito a 24 settimane, ha consentito di ristabilire una normale funzione cardiaca, permettendo al bambino di nascere in buone condizioni cliniche».
Alla 35a settimana di gestazione, infatti, Alessandro è nato al Bambino Gesù con un parto cesareo programmato, nell’ambito del percorso dedicato ai nascituri affetti da gravi patologie congenite. Subito dopo il parto, una volta stabilizzato dai neonatologi, il piccolo è stato sottoposto a indagini strumentali che hanno confermato la patologia del polmone destro. Il giorno successivo l’équipe dei chirurghi neonatali del Bambino Gesù ha eseguito una lobectomia toracoscopicarimuovendo l’intero lobo inferiore del polmone destro con una tecnica mini-invasiva che prevede tre piccolissime incisioni.
Il piano chirurgico e terapeutico per Alessandro e la sua mamma è stato realizzato grazie anche alla collaborazione con gli specialisti radiologi dell’Unità di Imaging Avanzato Cardio-toraco-vascolare e Fetale del Bambino Gesù, guidati dal dott. Aurelio Secinaro, che si sono occupati dello studio per immagini del caso (risonanza magnetica pre-natale e angio-TC post-natale) arricchito da ricostruzioni 3D.
 «La cisti era molto grande, occupava quasi tutto il torace del piccolo» racconta il dott. Andrea Conforti, responsabile dell’Unità di Chirurgia Fetale e Neonatale del Bambino Gesù. «Dopo la nascita, lo abbiamo operato in toracoscopia, una procedura mini-invasiva che ha consentito un recupero rapido e senza complicanze. Oggi Alessandro respira con due lobi polmonari invece di tre, ma sta bene: i lobi sani si sono riespansi e compensano perfettamente la funzione respiratoria. Potrà avere una vita normale, anche praticare sport, in futuro».
Commenta il dott. Leonardo Caforio: «Il nostro ospedale si trova spesso a gestire casi fetali complessi, nei quali le possibilità di successo dipendono strettamente dal lavoro combinato di diverse equipe di specialisti, tutti impegnati a garantire il benessere di due pazienti contemporaneamente, vale a dire la mamma e il nascituro. Grazie a questo tipo di organizzazione, che prevede anche la collaborazione con Centri esterni di eccellenza, il Bambino Gesù rappresenta oggi una realtà di riferimento nel centro-sud del Paese per la presa in carico e la cura dei piccoli pazienti con gravi patologie malformative congenite, ancor prima della nascita».
 
LA CHIRURGIA FETALE AL BAMBINO GESU’: 180 INTERVENTI NEGLI ULTIMI 4 ANNI
All’Ospedale Pediatrico Bambino Gesù ogni anno vengono gestiti circa 20/25 casi di malformazioni polmonari congenite, come quella del piccolo Alessandro, per la maggior parte sin dalla diagnosi prenatale. Di questi, circa il 10% richiede un intervento in epoca fetale. Complessivamente, negli ultimi 4 anni, gli specialisti del Bambino Gesù hanno eseguito 180 interventi fetali: il 50% con l’ausilio di strumentazione laser per il trattamento della Trasfusione feto fetale (TTTS), una patologia che colpisce i gemelli che hanno in comune la placenta; la rimanente percentuale riguarda principalmente gli interventi fetali per l’ernia diaframmatica e, a seguire, per la cura di altre anomalie o patologie diagnosticate durante la gravidanza che mettono a rischio la vita del nascituro.
LE ÉQUIPE COINVOLTE 
Il caso del piccolo Alessandro è stato seguito da diverse équipe coordinate dall’Ospedale Pediatrico Bambino Gesù. In particolare, per l’Ospedale Pediatrico romano hanno collaborato gli specialisti delle Unità Operative di Ostetricia, Ginecologia e Diagnosi prenatale (il responsabile dott. Leonardo Caforio e la dott.ssa Isabella Fabietti); Terapia Intensiva Neonatale (dott. Andrea Dotta e dott.ssa Irma Capolupo); Chirurgia Fetale e Neonatale (il responsabile dott. Andrea Conforti); Imaging Avanzato Cardio-toraco-vascolare e Fetale (il responsabile dott. Aurelio Secinaro e la dott.ssa Sara Savelli); Anestesia e Perioperatorio Intensivo (il responsabile dott. Simone Reali). Per l’Ospedale San Pietro Fatebenefratelli, le Unità Operative di Ostetricia e Ginecologia (il responsabile dott. Marco Bonito); Anestesiologia e Rianimazione (il responsabile dott. Gianni Cipriani e il dott. Endrit Malja); Pediatria e Neonatologia (la responsabile dott.ssa Maria Eleonora Scapillati e la dott.ssa Elena Sorrentino).
- Advertisement -

Potrebbe Interessarti

- Advertisement -

Ultime Notizie

- Advertisement -